menu
wiemy.to
  • library_books Aktualności
  • collections Listy
  • library_add_check Ankiety
  • video_library Filmy
  • quiz Konkursy
  • 
    Hej społeczność wiemy.to!
    Zaloguj się lub zarejestruj, aby tworzyć własne posty.
    Wspaniale WTF?! Kocham TO Wymiękam Śmieszne Porażka OMG! Smutne
    wiemy.to
    Prawa autorskie © 2025 wiemy.to. Wszelkie prawa zastrzeżone.

Utwórz 

wiemy.to

  •  Dom
  • library_books News
  • collections Listy
  • library_add_check Ankiety
  • video_library Filmy
  • quiz Konkursy
  • Wspaniale WTF?! Kocham TO Wymiękam Śmieszne Porażka OMG! Smutne
Prawa autorskie © 2025 wiemy.to. Wszelkie prawa zastrzeżone.
Stefanio
Stefanio
Stefanio
Administrator
Obserwuj
Płeć Mężczyzna
Razem Aktualności
3510
Razem Listy
5
Razem Sonda
0
Razem Filmy
1229
Obserwujesz Wszystkie (1)
Asiula
dołączył do 8 lat temu
    Ze względu na jej urodę nazwali ją Kobietą Centaurem! Cześć facetów traci dla niej głowę!

    Ze względu na jej urodę nazwali ją Kobietą Centaurem! Cześć facetów traci dla niej głowę!

    Symbolem dużych pośladków jest Kim Kardashian, jej szerokie biodra i wydatne pośladki, kojarzy chyba każdy Jednak w konfrontacji z tą młodą panią doktor przestaniecie  uważać kształty Kim za coś niezwykłego. To naprawdę możliwe… Oto Mindy Sittinpretty Pra...

    0
    0
    0
    8 lat temu
    Stefanio
    
    • Facebook
    • Twitter
    • Whatsapp
    • Email
    Sama stworzyła tą suknię ślubna za 50 zł! Zobacz czy miałabyś odwagę ją założyć jak się dowiesz z czego!

    Sama stworzyła tą suknię ślubna za 50 zł! Zobacz czy miałabyś odwagę ją założyć jak się dowiesz z czego!

    Pomysłowość ludzka nie zna granic, a jeśli pomysłowość połączymy z talentem i wytrwałością mogą powstać piękne i zaskakujące rzeczy! Udowodniła to angielka Rachel Lefleur tworząc bardzo nietypową suknię ślubną!Tak jak ta suknia ślubna której stworzenie ko...

    0
    0
    0
    8 lat temu
    Stefanio
    
    • Facebook
    • Twitter
    • Whatsapp
    • Email
    Panna młoda puszcza rękę swojego męża i odchodzi od ołtarza! Teraz patrz uważnie na jej dłonie!

    Panna młoda puszcza rękę swojego męża i odchodzi od ołtarza! Teraz patrz uważnie na jej dłonie!

    Dla Brittany  dzień ślubu był wyczekiwany od dawna. Dla swojego męża Evana przygotowała niesamowitą niespodziankę.  Kobieta przez długi czas uczyła się języka migowego, żeby "zaśpiewać" piosenkę dla swojego wybranka.  Jej występ wykonany z olbrzymią stara...

    0
    0
    0
    8 lat temu
    Stefanio
    
    • Facebook
    • Twitter
    • Whatsapp
    • Email
    Zobacz co kształt Twojego podbródka mówi o Twojej osobowości! Może śmieszne ale się sprawdza!

    Zobacz co kształt Twojego podbródka mówi o Twojej osobowości! Może śmieszne ale się sprawdza!

    Całkiem możliwe, że nie zdawaliście sobie sprawy z tego, iż kształt waszego podbródka może powiedzieć wiele o waszej osobowości. Oto sześć przykładów.1. Kwadratowy podbródekCechuje osoby silne, gwałtowne i impulsywne. Działają one bezpośrednio i stanowczo...

    0
    0
    0
    8 lat temu
    Stefanio
    
    • Facebook
    • Twitter
    • Whatsapp
    • Email
    Takie młode, a już takie akcje robią! Tak teraz bawią się nastolatki na live czacie!

    Takie młode, a już takie akcje robią! Tak teraz bawią się nastolatki na live czacie!

    Bez komentarza, zobaczcie i oceńcie sami! 

    0
    0
    0
    8 lat temu
    Stefanio
    
    • Facebook
    • Twitter
    • Whatsapp
    • Email
    11 prostych kroków które pomogą Ci uzyskać upragnioną sylwetkę! Bądź regularna i podziwiaj efekty!

    11 prostych kroków które pomogą Ci uzyskać upragnioną sylwetkę! Bądź regularna i podziwiaj efekty!

    Szukasz planu diety dopasowanego do twojego stylu życia, potrzeb i gustu? Te 11 porad może okazać się pomocne w kształtowaniu osobistej rozpiski i zgubieniu zbędnych kilogramów.Kluczem jest wpojenie sobie nowych, zdrowych nawyków.1. Wyznacz sobie realisty...

    0
    0
    0
    8 lat temu
    Stefanio
    
    • Facebook
    • Twitter
    • Whatsapp
    • Email
    14 latka szarpie psa za smycz i zaczyna kręcić nim w kółko! Pies był zupełnie bezsilny...

    14 latka szarpie psa za smycz i zaczyna kręcić nim w kółko! Pies był zupełnie bezsilny...

    Film który jest poniżej został umieszczony w mediach społecznościowych i od razu zyskało ogromną sławę, a raczej niesławę… To przerażające, że do okrucieństwa wobec zwierząt zdolni są coraz młodsi ludzie.Film zaczął zbierać bardzo dużo opinii negatywnych...

    0
    0
    0
    8 lat temu
    Stefanio
    
    • Facebook
    • Twitter
    • Whatsapp
    • Email
    Tata zaczyna kłótnie z mała córką! Teraz zobacz jej reakcje która sprawiła, że tata się poddał!

    Tata zaczyna kłótnie z mała córką! Teraz zobacz jej reakcje która sprawiła, że tata się poddał!

    To z pewnością jeden z najbardziej uroczych filmików krążących po sieci. Widok 15-miesięcznej dziewczynki kłócącej się z tatą o zejście ze stołu to coś niepowtarzalnego. No ale cóż, w końcu ten dom jest tak samo jej jak i jego, a już z pewnością ten stół....

    0
    0
    0
    8 lat temu
    Stefanio
    
    • Facebook
    • Twitter
    • Whatsapp
    • Email
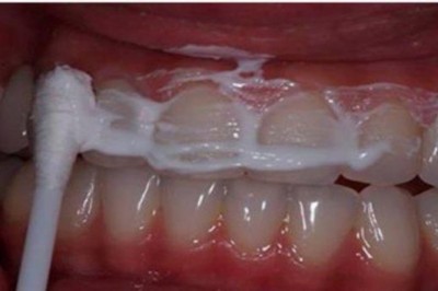
    Ta prosta metoda pozwoli uzyskać śnieżnobiałe zęby i rozjaśni Twój uśmiech! Do tego jest bardzo tania!

    Ta prosta metoda pozwoli uzyskać śnieżnobiałe zęby i rozjaśni Twój uśmiech! Do tego jest bardzo tania!

    Dbanie o jamę ustną ma ogromne dla naszego ogólnego samopoczucia oraz uniemożliwi inwazję bakterii. Prawidłowe odżywianie zapewni niezbędne składniki mineralne oraz witaminy, które wzmocnią zęby. Oprócz tego, ważne jest, aby eliminować kamień nazębny i za...

    0
    0
    0
    8 lat temu
    Stefanio
    
    • Facebook
    • Twitter
    • Whatsapp
    • Email
    Podczas odczytywania wyroku sędzia rozpoznaje przestępce! Jego gwałtowna reakcja zwali Cię z nóg!

    Podczas odczytywania wyroku sędzia rozpoznaje przestępce! Jego gwałtowna reakcja zwali Cię z nóg!

    To miała być kolejna zwykłą szybka rozprawa, jednak zamieniła się w scenę  wzruszającego spotkania które śmiało można wykorzystać jako scenariusz filmowy. (wideo na dole strony)Podejrzany o włamanie Arthur Booth i sędzia Mindy Glazer przeżyli niezwykłe „s...

    0
    0
    0
    8 lat temu
    Stefanio
    
    • Facebook
    • Twitter
    • Whatsapp
    • Email
    Rutkowski rozbił srebrnego Mercedesa i nagrywa o tym filmik! Lansik musi być

    Rutkowski rozbił srebrnego Mercedesa i nagrywa o tym filmik! Lansik musi być

    Bo teraz o wszystkim trzeba nagrać filmik :D 

    0
    0
    0
    8 lat temu
    Stefanio
    
    • Facebook
    • Twitter
    • Whatsapp
    • Email
    Jeśli widzisz 3 z 10 tych zachowań w waszym związku, wasza miłość będzie trwać wiecznie! Idealne!

    Jeśli widzisz 3 z 10 tych zachowań w waszym związku, wasza miłość będzie trwać wiecznie! Idealne!

    Co sprawia, że związek jest szczęśliwy i udany? Czy zastanawiasz się czasem nad sposobami na poprawę relacji z partnerem? Jeśli tak, jesteś we właściwym miejscu. Oto 10 zwyczajów świadczących o tym, że tworzycie szczęśliwą parę.1. Kładziecie się spać o po...

    0
    0
    0
    8 lat temu
    Stefanio
    
    • Facebook
    • Twitter
    • Whatsapp
    • Email
    25 zdjęć które udowadniają, że każde dziecko powinno mieć zwierzaka! Dzięki temu lepiej się rozwija!

    25 zdjęć które udowadniają, że każde dziecko powinno mieć zwierzaka! Dzięki temu lepiej się rozwija!

    Wychowywanie się dziecka z psem lub kotem bardzo dobrze wpływa na jego rozwój. Jeśli wiec maluch nie cierpi na alergię lub nie ma innych poważnych przeciwwskazań każdy rodzic powinien rozważyć taki duet w swoim domu. Zobaczcie sami poniższe zdjęcia które...

    0
    0
    0
    8 lat temu
    Stefanio
    
    • Facebook
    • Twitter
    • Whatsapp
    • Email
    12 objawów sygnalizujących, że spożywasz za dużo cukru! To może być bardzo niebezpieczne dla zdrowia!

    12 objawów sygnalizujących, że spożywasz za dużo cukru! To może być bardzo niebezpieczne dla zdrowia!

    Wiele osób myśli, że wysoki poziom cukru we krwi to przypadłość występująca wyłącznie wśród diabetyków. Ale nie jest to prawdą. Każdy z nas może cierpieć na ten problem i nie zauważyć nawet szkód dziejących się w nerwach, naczyniach krwionośnych i organac...

    0
    0
    0
    8 lat temu
    Stefanio
    
    • Facebook
    • Twitter
    • Whatsapp
    • Email
    23 niezbyt przyjemne rzeczy które towarzyszą kobiecie podczas ciąży! Każda matka zna ten ból!

    23 niezbyt przyjemne rzeczy które towarzyszą kobiecie podczas ciąży! Każda matka zna ten ból!

    Podczas trwania ciąży każda kobieta doznaje ogromnych zmian w swoim organizmie. Te zmiany dotyczą nie tylko wyglądu, ale również funkcjonowania organizmu brzemiennej kobiety. Nie wszystkie z nich są przyjemne dla oka…1. Poczujesz się jak kameleon, jako że...

    0
    0
    0
    8 lat temu
    Stefanio
    
    • Facebook
    • Twitter
    • Whatsapp
    • Email
  • «
  • 1
  • 2
  • ...
  • 60
  • 61
  • 62
  • 63
  • 64
  • 65
  • 66
  • ...
  • 316
  • 317
  • »

Prawa autorskie © 2025 wiemy.to. Wszelkie prawa zastrzeżone.